PICA is a whole-body, 0.35T MRI system designed for affordability, patient comfort, and clinical versatility — with open architecture and complete ACR accreditation for Head, Spine, Body, and MSK.
The PICA MRI system is our flagship product with its unique open architecture, advanced hardware platform and leading-edge clinical applications make it ideally suited for patient comfort, fast acquisition times and excellent image quality. The PICA has passed all ACR Accreditation requirements of 4 MRI modules: Head, Spine, Body and MSK. This accreditation also means that patient scans from PICA is approved for financial reimbursement by the US Government MEDICARE program as well as private insurance companies in the US.
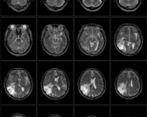
The PICA’s 20-minute MRI exam of the Brain scan is an example of our commitment to delivering value, performance, and innovation.








Refreshed Benefits List
- Whole Body MRI System
-
Supports a wide range of clinical applications, from brain to musculoskeletal scans, in a single, all-in-one platform.
- 0.35T
-
Delivers dependable diagnostic imaging with optimized protocols for general MRI use at lower field strength.
- Open Architecture MRI for Patients up to 200 kg
-
Spacious and patient-friendly design provides greater comfort, especially for larger or claustrophobic patients.
- Strong Gradients for High-Resolution Image Acquisition
-
High-performance gradient hardware ensures clear, sharp imaging even at 0.35T.
- Completely Helium-Free
-
Eliminates helium-related maintenance and refills, reducing risk and long-term operating costs.
- Cost-Effective with Lower Operating Cost
-
Ideal for healthcare facilities seeking reliable imaging with reduced energy, cooling, and consumables cost.
- Lower Acoustic Noise for More Patient Comfort
-
Quiet scan sequences make the patient experience more relaxed and tolerable, especially for longer exams.