Engineered for Performance, Designed for Excellence
Advanced 1.5T MRI With Breakthrough HTS Coil Technology

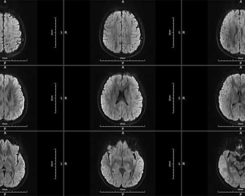
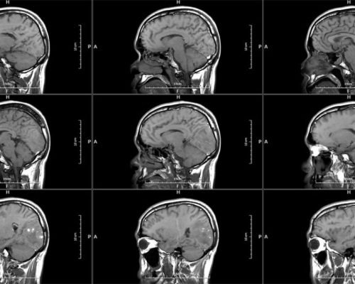
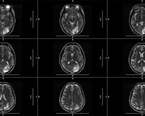
MICA represents the pinnacle of innovation in 1.5T whole-body MRI systems, delivering image quality rivaling 3T systems through its unique High-Temperature Superconducting (HTS) RF coil technology.

MICA is the result of our commitment to develop the world’s highest performing 1.5T whole body MRI system with integrated superconducting RF coil. The superb image quality targeting 3T system performance level is made possible with the unique High-Temperature Superconducing (HTS) RF coils patented by Time Medical Systems.

Refreshed Benefits List

World’s Highest Performing 1.5T Whole Body MRI System

Delivers exceptional imaging quality across the entire body — powered by cutting-edge superconducting technology for consistent diagnostic confidence.

Strong Gradients

High-performance gradient system enables faster scanning and sharper images, ideal for advanced neurological and musculoskeletal applications.

Whole Spine Imaging

Optimized for full-spine views in a single scan, supporting accurate assessments for complex spinal conditions and treatment planning.

Explore More Magnetic Resonance Imaging